MAEDA DENTAL CLINICの症例
インプラント症例
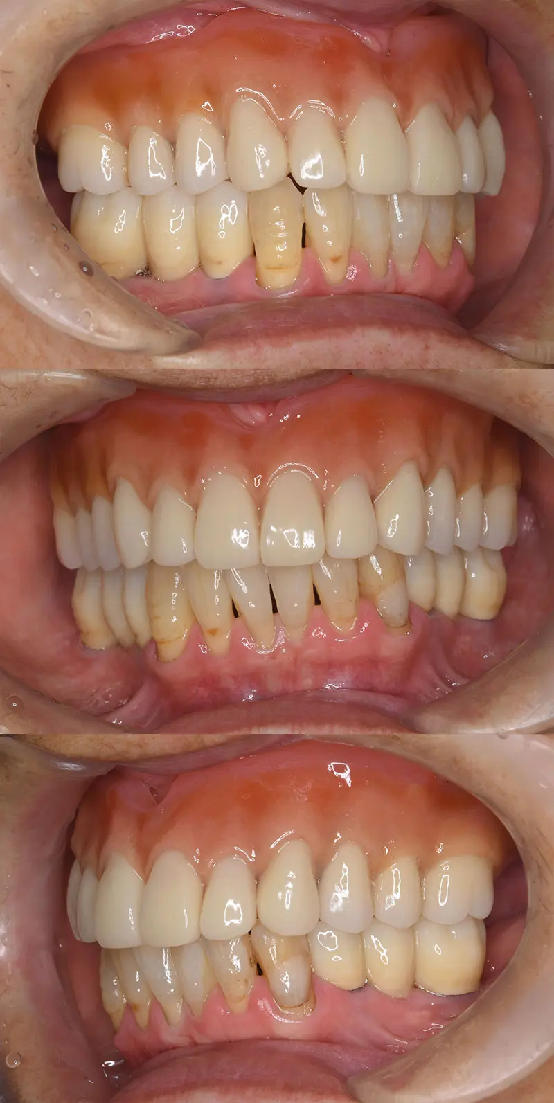
50代女性 上顎義歯
下顎臼歯インプラントケース
| 治療内容 | 下顎4本インプラント |
|---|---|
| 年齢/性別 | 50代/女性 |
| 治療期間 | 8か月 |
| 費用 | 257万円 |
| リスク/副作用 | 手術後は疼痛や腫れが出ることがあります。 |
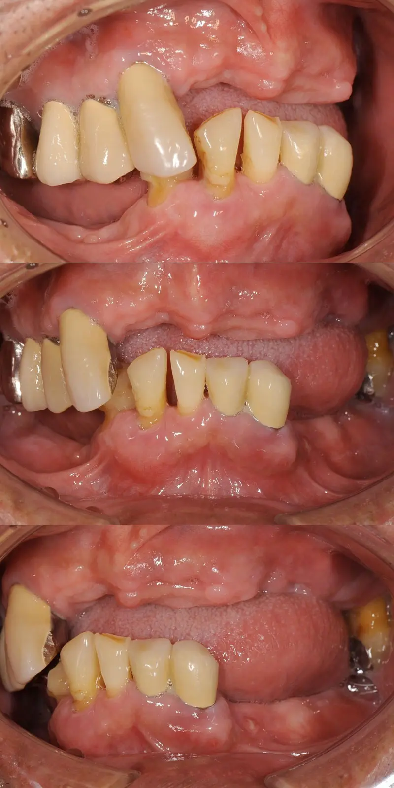
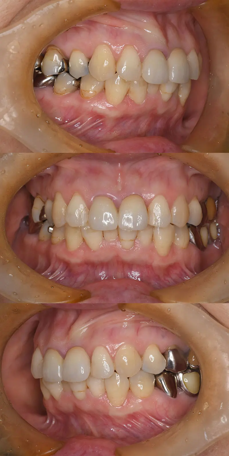
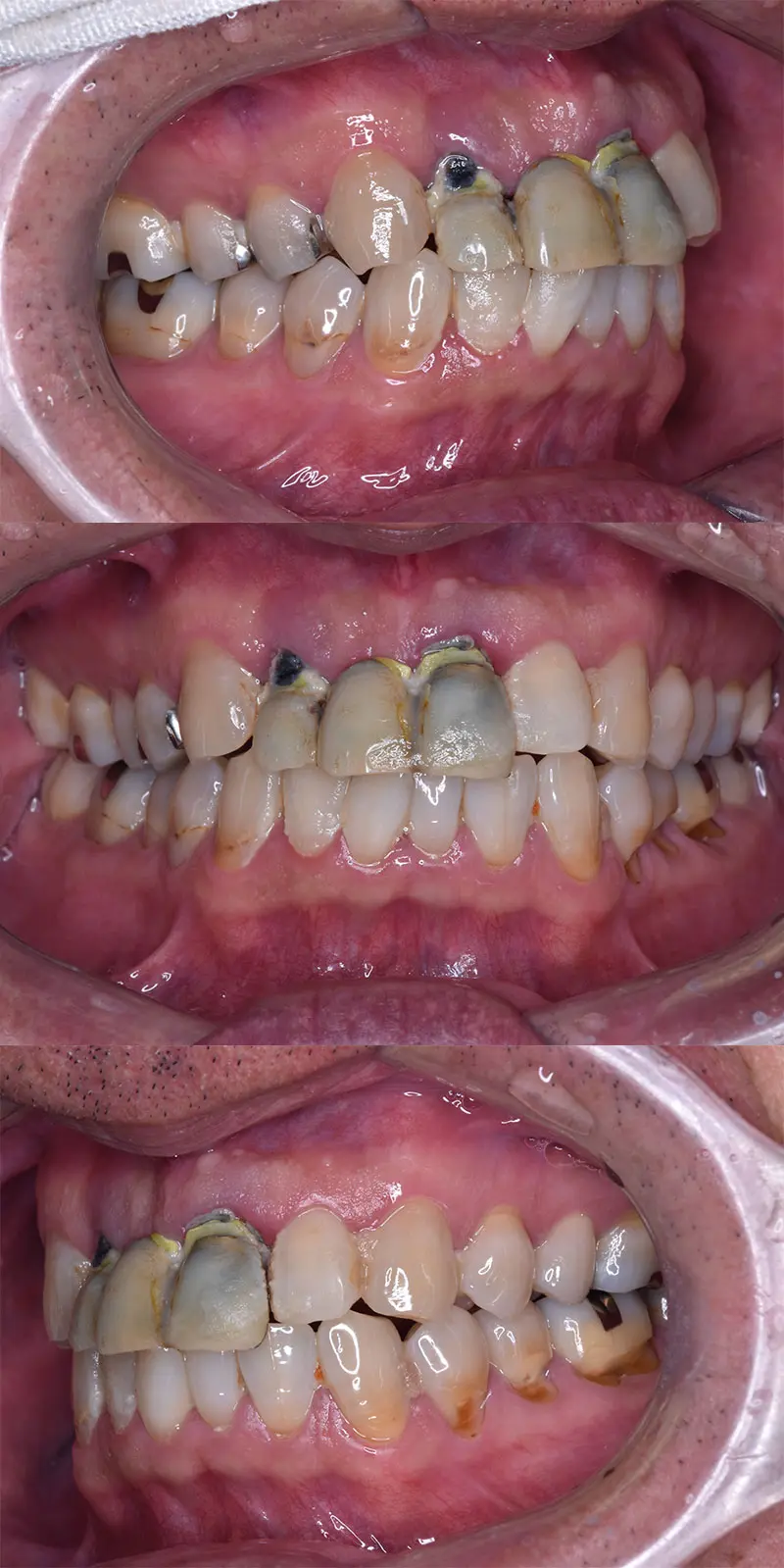
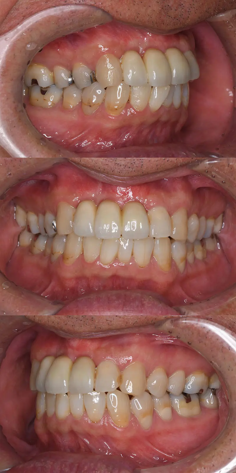
60代女性 臼歯インプラントと
全顎的セラミック治療
| 治療内容 | 臼歯5本インプラントと28本セラミック治療 |
|---|---|
| 年齢/性別 | 60代/女性 |
| 治療期間 | 24か月 |
| 費用 | 358万円 |
| リスク/副作用 | 手術後は疼痛や腫れが出ることがあります。 |
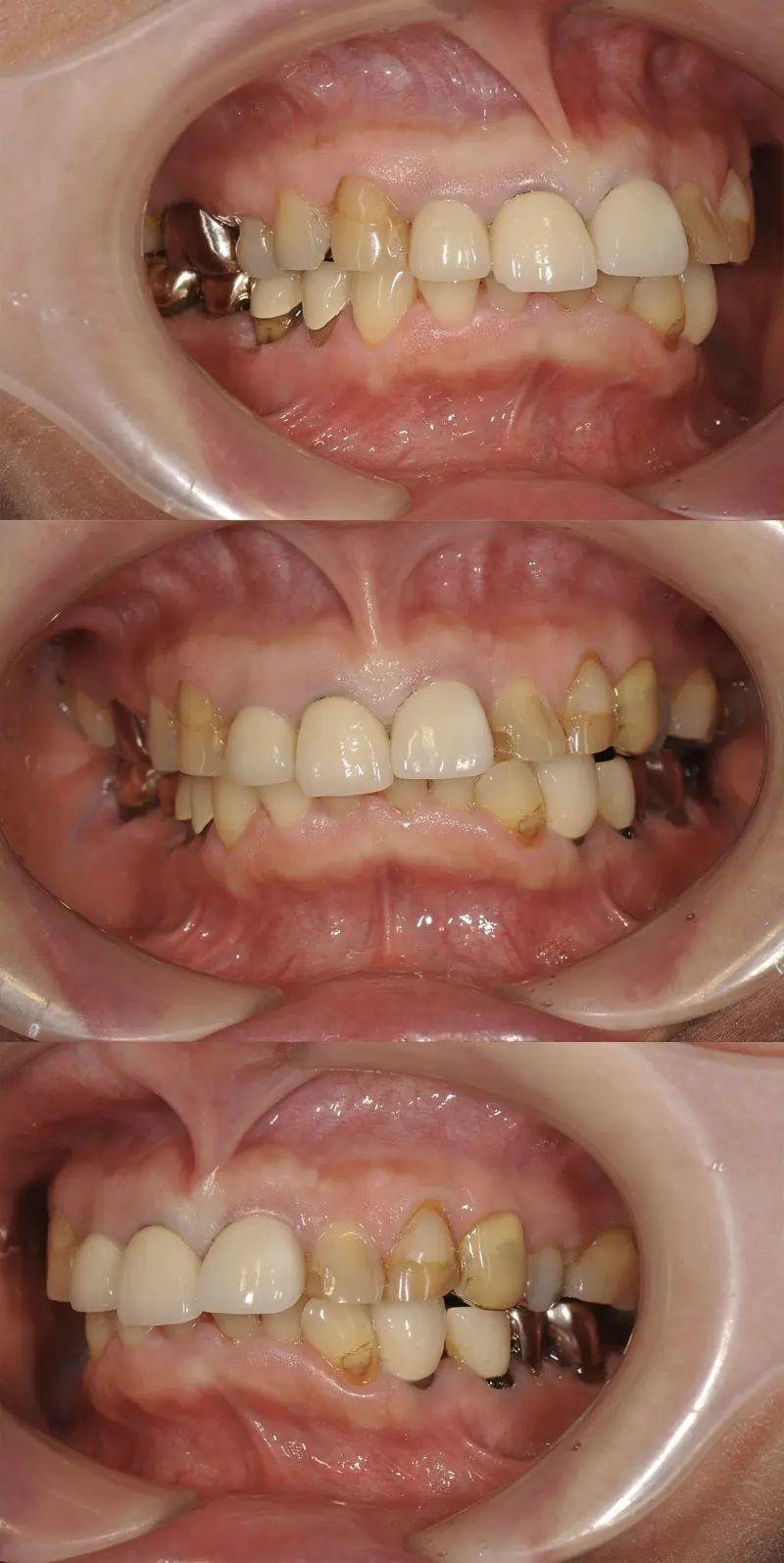
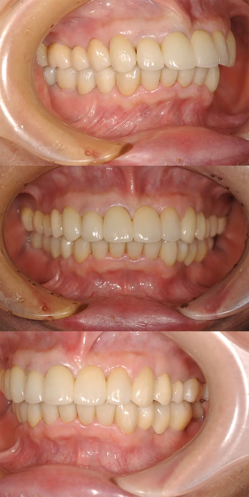
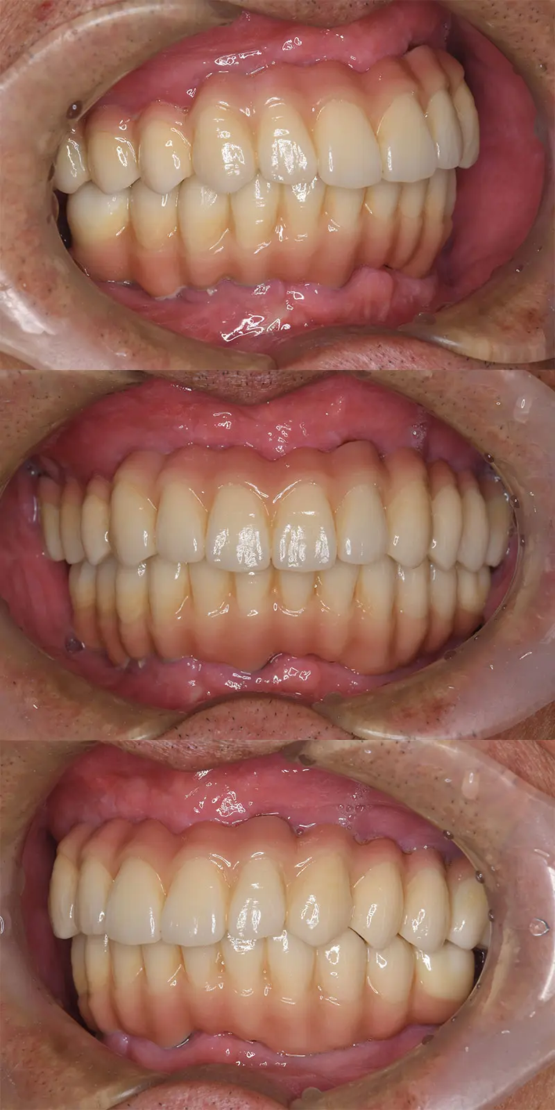
60代女性
上下フルインプラントケース
(固定式総義歯)
| 治療内容 | 上顎7本・下顎7本のインプラント |
|---|---|
| 年齢/性別 | 60代/女性 |
| 治療期間 | 12か月 |
| 費用 | 550万円 |
| リスク/副作用 | 手術後は疼痛や腫れが出ることがあります。 |
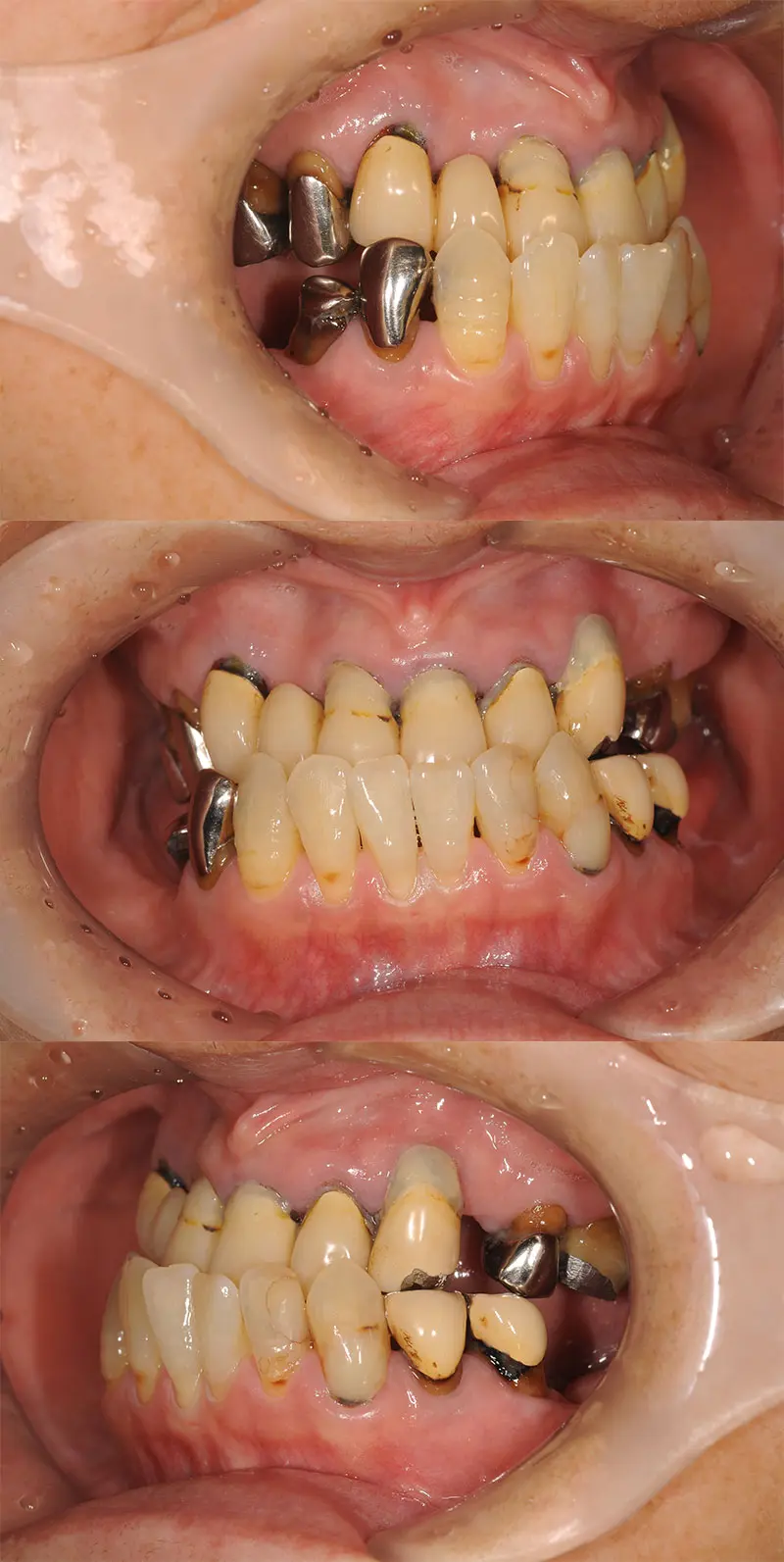
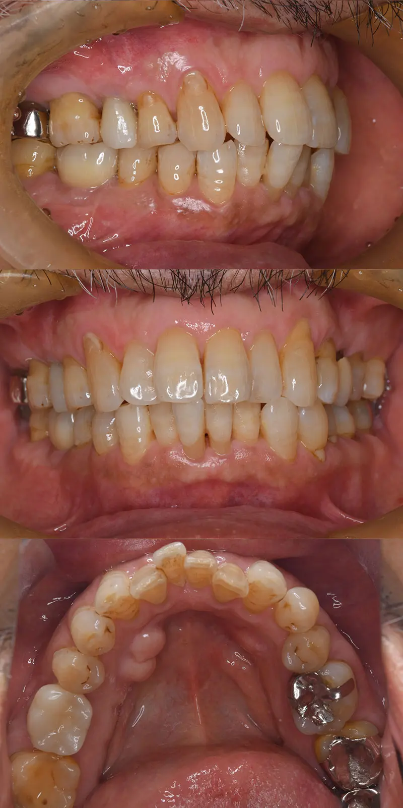
60代男性
右下6番1本ケース
| 治療内容 | 1本のインプラント |
|---|---|
| 年齢/性別 | 60代/男性 |
| 治療期間 | 3か月 |
| 費用 | 42万円 |
| リスク/副作用 | 手術後は疼痛や腫れが出ることがあります。 |
50代男性
上顎前歯3本ケース
| 治療内容 | 2本のインプラント |
|---|---|
| 年齢/性別 | 50代/男性 |
| 治療期間 | 8か月 |
| 費用 | 109万円 |
| リスク/副作用 | 手術後は疼痛や腫れが出ることがあります。 |
50代女性
前歯インプラントケース
| 治療内容 | 左上1インプラント |
|---|---|
| 年齢/性別 | 50代/女性 |
| 治療期間 | 7か月 |
| 費用 | 48万円 |
| リスク/副作用 | 手術後は疼痛や腫れが出ることがあります。 |