

- 01
初診・カウンセリング
プライバシーに配慮した個室のカウンセリングルームにて、現在のお悩みやご要望をじっくりと伺います。インプラント治療のメリットだけでなく、リスクや他の治療肢との違いについても誠実にお伝えします。概算の費用や治療期間の目安についても、分かりやすい資料を用いて丁寧にご説明し、患者様が十分に納得された上で次の一歩を踏み出せるようサポートいたします。
- 02
検査・診断
当院ではデジタル技術を駆使した低侵襲なインプラント治療を追求しています。歯科用CTとシミュレーションソフトを連動させ、コンピュータ上でのデジタルプランニングを実施。リスク要因を事前に把握することで、経験や勘だけに頼らない、根拠に基づいた手術計画を立案します。
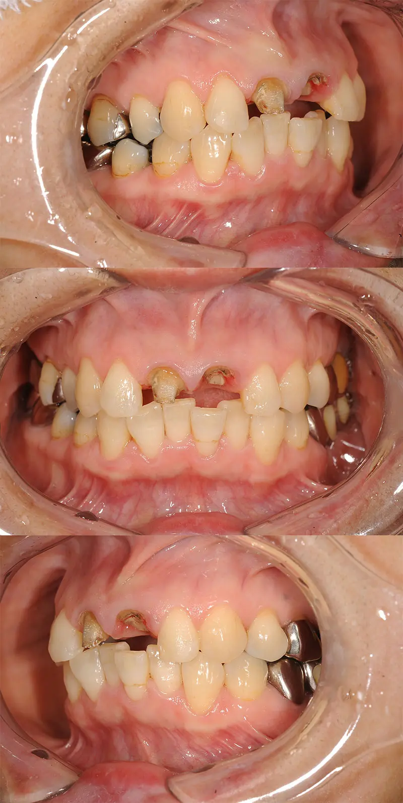
- 03
一次手術
インプラントを顎の骨へ慎重に配置するステップです。専用の器具を用いて適切な深さと角度で埋入を行い、処置後は歯ぐきを丁寧に整えます。その後、インプラントが周囲の骨と馴染むための「治癒期間」を設けます。骨の状態により個人差はありますが、数ヶ月(目安として2〜6ヶ月程度)かけて、インプラントが土台として安定するのをじっくりと待ちます。
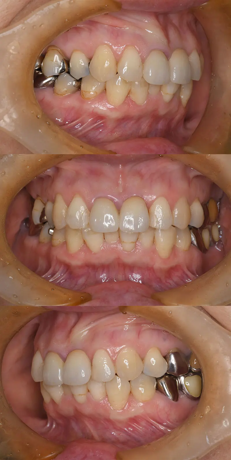
- 04
人工の歯を製作、装着
お口全体のバランスを整える最終ステップです。周囲の歯の色調や形、そしてお口全体の噛み合わせを精密に採得し、天然歯と調和する人工歯を設計します。素材は耐久性に優れたジルコニアや透明感のあるセラミックなどから、お口の状態に適したものを選択。装着後もミリ単位で噛み合わせの微調整を重ねることで、違和感の少ない、自然な使い心地を目指します。
- 05
メンテナンス
インプラントを長く健康に使い続けていただくためには、治療後のアフターケアが欠かせません。インプラントは天然歯に比べて細菌感染への抵抗力が弱いため、ご自宅でのセルフケアと、歯科医院での専門的なメインテナンスの両立が大切です。定期検診では、噛み合わせのバランスや清掃状態を細かくチェックし、インプラント周囲炎などのトラブルを未然に防げるようサポートいたします。
















